Door Nina Wubben - Foto: © Minsheng Zhu-Nanjing University - 28-11-2025 - Nieuws

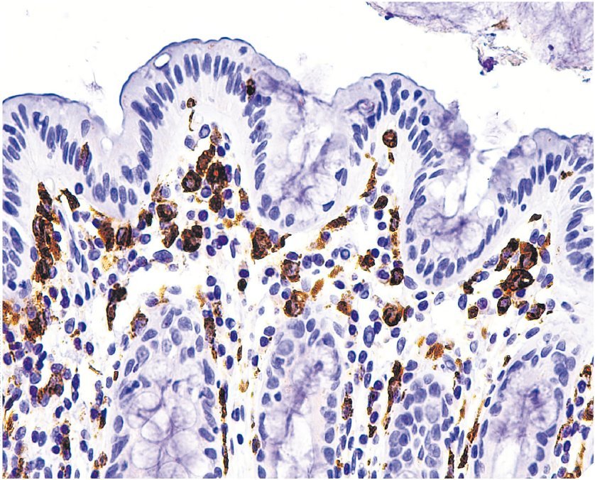
Darmepitheel van een muis waarbij de bescherming door macrofagen is aangetast door toxische MTB-bacteriën. Foto: © Minsheng Zhu-Nanjing University
Een bacterieel toxine uit het geslacht Aeromonas blijkt gericht darmmacrofagen uit te schakelen, wat de aanhoudende ontstekingen bij ulceratieve colitis verklaart.
Een door het bacteriegeslacht Aeromonas geproduceerd toxine blijkt selectief dodelijk voor darmmacrofagen, en kan zo de hardnekkige ontstekingen in de dikke darm aanjagen die kenmerkend zijn voor ulceratieve colitis (UC). Dat schrijven Chinese onderzoekers in Science van 20 november.
De toxine, aerolysine, richt zich op de immuuncellen die normaal als beschermende laag onder het darmslijmvlies liggen. Door het wegvallen van dit schild wordt de dikke darm gevoeliger voor ontsteking. Tot nu toe lag de nadruk vooral op problemen in het epitheel, maar de nieuwe studie wijst juist de onderliggende immuuncellen aan als mogelijke motor achter de ontstekingen.
Darmmacrofagen
De Chinese onderzoekers begonnen met het in kaart brengen van darmmacrofagen in biopten van UC-patiënten. De immuuncellen bleken vrijwel afwezig, ook in ogenschijnlijk gezond weefsel. ‘Het verlies van deze cellen lijkt een eerste stap in het ziekteproces’, zegt hoofdonderzoeker Minsheng Zhu in een e-mail. Muizen bij wie de macrofagen kunstmatig waren verwijderd, bleken bovendien gevoeliger voor darmbeschadiging.
Uit ontlastingsmonsters isoleerden de onderzoekers vervolgens een Aeromonas variant die zij macrophage-toxic bacteria (MTB) noemen. Deze produceert aerolysine, een toxine dat zich bindt aan specifieke eiwitten op celmembranen en necrose-achtige celdood veroorzaakt. Macrofagen blijken twintig tot tachtig keer gevoeliger voor de toxine dan epitheelcellen.
In muismodellen verergerde infectie met MTB colitis aanzienlijk, met gewichtsverlies, ulceraties en bloedingen tot gevolg. Genetisch gemodificeerde bacteriën zonder aerolysine veroorzaakten geen ontsteking. MTB had daarnaast geen effect in muizen waarbij de macrofagen al verwijderd waren. ‘Dat onderstreept dat juist het verlies van immuuncellen de sleutel vormt’, aldus Zhu.
Neutralisatie
De schade kan volgens de onderzoekers beperkt worden door antilichamen tegen aerolysine in te zetten: deze verminderen de ernst van colitis in muizen. ‘Gerichte neutralisatie van bacteriële toxines kan een alternatief zijn voor brede immuunonderdrukking met antibiotica,’ zegt Zhu. Dit pad is ook hoopgevend omdat het Aeromonas -geslacht steeds vaker resistent is voor antibiotica.
De aerolysine-producerende Aeromonas -bacterie bleek aanwezig in 72 procent van de UC-patiënten, tegenover 12 procent van de gezonde controlegroep. Bij Crohn-patiënten was de bacterie vrijwel afwezig. Dat wijst op een specifiek verband met ulceratieve colitis. Toch benadrukt Zhu dat UC een complex ziektebeeld blijft: ‘Het heeft waarschijnlijk niet één enkele oorzaak, maar het gaat om een samenspel van genetische aanleg, leefstijl en microbiële factoren.’
Risicofactor
In een gelijktijdig gepubliceerd perspective in Science noemen darmmicrobioomonderzoekers Sonia Modilevsky en Shai Bel de directe aanpak van microben en hun toxines een veelbelovend alternatief voor immuunsuppressie. Klassieke criteria om een ziekteverwekker aan te wijzen zijn volgens hen niet toepasbaar bij dit soort aandoeningen, maar de studie biedt wel nieuwe handvatten. Zo toont het onderzoek dat MTB nauwelijks voorkomt in gezonde muizen, maar pas kan koloniseren na een antibioticabehandeling – een bekende risicofactor voor darmontstekingsziekten bij mensen.